Cellules HeLa : l’odyssée de la première lignée cellulaire humaine « immortelle »

Source: The Conversation – France in French (3) – By Jean-François Bodart, Professeur des Universités, en Biologie Cellulaire et Biologie du Développement, Université de Lille

_Henrietta Lacks (HeLa): The Mother of Modern Medicine_ (détail) : portrait d’Henrietta Lacks réalisé en 2017 par l’artiste peintre Kadir Nelson. Collection of the Smithsonian National Museum of African American History and Culture and National Portrait Gallery, Gift from Kadir Nelson and the JKBN Group, LLC

Isolées voici soixante-quinze ans, les cellules HeLa sont sans doute aujourd’hui encore les cellules humaines les plus largement utilisées dans les laboratoires de recherche biomédicale. Prélevées en 1951 – sans son consentement – chez une patiente nommée Henrietta Lacks, ces cellules ont contribué à de nombreuses avancées médicales. Retour sur les raisons d’un brillant succès, non dépourvu d’une part d’ombre.


Génétique, biologie cellulaire, virologie, toxicologie, cancérologie… La liste des domaines dans lesquels les cellules HeLa ont fait avancer les connaissances est impressionnante. À ce jour, plus de 120 000 articles scientifiques font référence à des travaux menés grâce à cette lignée cellulaire.

Parmi les raisons qui expliquent ce succès de ces cellules auprès des biologistes, la principale est probablement qu’elles sont immortelles : contrairement aux autres cellules qui finissent par s’épuiser et mourir, dans des conditions appropriées, les cellules HeLa se divisent indéfiniment. Ces cellules ont été isolées – sans son consentement – à partir de la tumeur d’une patiente, Henrietta Lacks.

Quelle est la nature de ces cellules ? D’où viennent‑elles ? Et pourquoi continuent‑elles d’intéresser le domaine de la santé, plus de sept décennies après leur prélèvement ?

Des cellules obtenues hors de tout consentement

Photo d’Henrietta Lacks, vers 1945
Henrietta Lacks, vers 1945.
Oregon State University / Wikimedia Commons

L’histoire des cellules HeLa débute en 1951, lorsque Henrietta Lacks, une jeune femme afro-américaine d’origine modeste, se présente au Johns Hopkins Hospital, à Baltimore (Maryland), car elle souffre de saignements utérins en dehors de ses périodes de règles.

Le diagnostic ne tarde pas à tomber : Henrietta Lacks souffre d’un cancer agressif du col de l’utérus, qui l’emportera quelques mois plus tard, à l’âge de 31 ans.

Durant sa prise en charge, un médecin prélève, le 8 février 1951 – sans en informer sa patiente – des fragments de la tumeur, qui seront envoyés au laboratoire de culture tissulaire du service de chirurgie de l’hôpital, dirigé par le biologiste George Gey et son épouse Margaret.

Depuis de longues années, tous deux tentaient de cultiver des cellules humaines in vitro, mais ne parvenaient pas à les garder en vie au-delà de quelques divisions.

Cette fois, pourtant, les choses se passent différemment : dès leur mise en culture dans des tubes étiquetés HeLa (pour Henrietta Lacks), les cellules se multiplient sans s’arrêter, et survivent au transport, à la congélation et à la décongélation des échantillons.

C’est le début de l’odyssée des cellules HeLa : cette première lignée de cellules humaines « immortelles », distribuée largement par George Gey, envahit dans les années qui suivent les laboratoires du monde entier. Elle y sert notamment de test pour les nouvelles techniques de culture cellulaire, et devient souvent un bon indicateur de la viabilité d’une procédure : si un protocole fonctionne sur ces cellules, il est probable qu’il fonctionne dans d’autres lignées.

Au fil des décennies, ces cellules seront à l’origine de nombreux résultats de recherche. Un succès dont la famille d’Henrietta Lacks ne sera informée que tardivement, à partir de 1973. L’histoire des cellules HeLa, révélée dans les années 1990, fit l’objet d’un livre – The Immortal Life of Henrietta Lacks – par la journaliste américaine Rebecca Skloot, adapté au cinéma en 2017.

La bande-annonce du film adapté de l’ouvrage de Rebecca Skloot, The Immortal Life of Henrietta Lacks.

Bien que des travaux menés grâce aux cellules HeLa aient fait l’objet de dépôts de brevets, pendant plusieurs décennies, les descendants d’Henrietta Lacks n’ont reçu aucun dédommagement. Cependant, en 2023, une procédure a abouti à la signature d’un accord entre la famille Lacks et le groupe de biotechnologies Thermo Fischer, dont le montant n’a pas été divulgué.

Des cellules immortelles

HeLa est une lignée de cellules humaines issue d’un cancer du col de l’utérus. Ce sont des cellules épithéliales, semblables à celles qui tapissent normalement la surface des organes ou des muqueuses, à la manière d’un carrelage serré. En culture, elles forment un « tapis » plutôt régulier, se divisent très vite et tolèrent les manipulations répétées.

La particularité de la lignée cellulaire HeLa est d’être une lignée dite « immortelle » : alors que les cellules normales se divisent un nombre limité de fois avant de s’épuiser, les cellules HeLa peuvent, dans de bonnes conditions, être multipliées indéfiniment.

Cette « immortalité » tient à un fonctionnement cellulaire qui transgresse plusieurs mécanismes limitant la durée de vie des cellules normales.

Les cellules HeLa présentent notamment une activité élevée de télomérase : à l’intérieur du noyau des cellules, cette enzyme participe à « réparer » les extrémités des chromosomes qui « s’abîment » à chaque division. Cette activité élevée protège les cellules HeLa d’un des effets délétères du vieillissement.

Leur cycle cellulaire est par ailleurs dérégulé : les freins moléculaires qui empêchent normalement des multiplications cellulaires rapides sont desserrés.

Enfin, sur le plan génétique, plusieurs anomalies (ou aneuploïdie) ont été observées sur les chromosomes lors du séquençage complet de leur ADN : fragments dupliqués, perdus ou réarrangés. Il est établi que ces réarrangements modifient fortement le nombre de copies de nombreux gènes, dont des gènes clés de la prolifération ou de l’activité de la télomérase, ainsi que leur niveau d’expression, ce qui entraîne un comportement différent des cellules HeLa par rapport aux cellules humaines normales.

Ce n’est pas nécessairement problématique si des mécanismes généraux sont étudiés (division cellulaire, réponse au stress, outils de biologie moléculaire), mais ces altérations peuvent constituer un biais s’il est nécessaire par exemple de tirer des conclusions fines sur un tissu sain ou sur tous les cancers en général. Il est donc nécessaire la nécessité de bien caractériser les sous-lignées cellulaires HeLa utilisées (comme nous le verrons plus loin, il existe différentes sortes de cellules HeLa) et de les comparer avec d’autres modèles cellulaires.

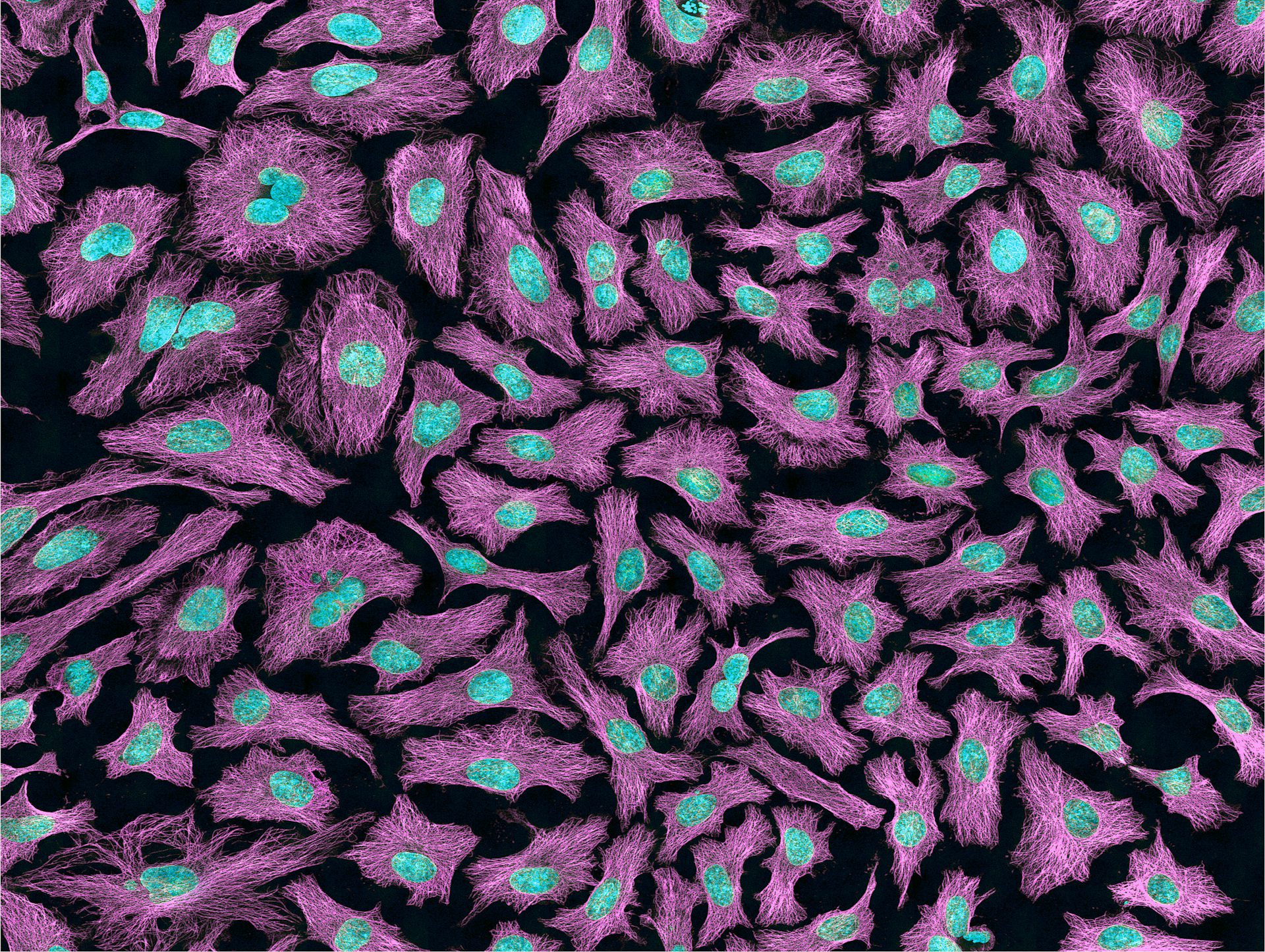
Microscopie à fluorescence de cellules HeLa (les microtubules du cytosquelette sont indiqués en magenta et l’ADN, en bleu cyan).
Microscopie à fluorescence de cellules HeLa (les microtubules du cytosquelette sont indiqués en magenta et l’ADN, en bleu cyan).
National Institutes of Health (NIH) / Wikimedia Commons

Pourquoi ces cellules ont‑elles eu autant de succès ?

Trois raisons principales expliquent l’engouement persistant pour ces cellules.

Premièrement, elles constituent un modèle humain pratique : ces cellules expriment des voies de signalisation et des gènes typiques d’un tissu humain, tout en étant robustes, faciles à cultiver et à transfecter, c’est‑à‑dire capables d’intégrer un ADN ou ARN étranger afin de fabriquer une protéine ou de modifier l’expression d’un gène. De fait, la lignée s’est avérée un outil idéal pour tester des concepts, des molécules, ou de nouveaux vecteurs d’expression.

Deuxièmement, ces cellules ont montré une incroyable polyvalence, étant utilisées en virologie, cancérologie, toxicologie et en biologie moléculaire moderne.

Enfin, la lignée HeLa a servi de « langue commune », assurant de choisir un modèle que des centaines d’autres équipes connaissaient. La lignée a servi de « mètre étalon » pour mettre au point des techniques reproductibles, qu’il s’agisse de microscopie, de tests de viabilité ou de cribles à haut débit.

Ce que HeLa a permis de découvrir

Plusieurs exemples emblématiques permettent de comprendre les apports de ces cellules. Dans les années 1950, des millions de tubes de cellules HeLa ont été produits, afin de les infecter avec le virus de la poliomyélite pour l’étudier, et enfin tester un vaccin à grande échelle.

En rendant possibles la culture de grandes quantités de virus et le test systématique de l’efficacité du vaccin, les HeLa ont donc contribué de manière déterminante à la mise au point, la vérification et l’industrialisation rapide d’un vaccin antipoliomyélitique.

Le séquençage du génome HeLa a montré que ces cellules ont intégré de façon incomplète l’ADN de papillomavirus humain (HPV) de type 18. Le HPV est un virus très répandu, transmis surtout par voie sexuelle, dont certains types peuvent provoquer des cancers, dont celui du col de l’utérus, qui coûta la vie à Henrietta Lacks.




À lire aussi :
Papillomavirus et cancers : les éléments pour comprendre la campagne de vaccination dans les collèges


Cette observation a fourni une preuve supplémentaire de certains mécanismes de cancérogenèse, contribuant à établir que des types de HPV jouent un rôle direct dans les cancers du col de l’utérus, ouvrant la voie au développement de vaccins contre les papillomavirus.

La lignée HeLa a également servi de modèle pour comprendre l’action de nombreux agents chimiothérapeutiques. Dans la mesure où ces cellules peuvent aisément intégrer du matériel génétique, elles ont par ailleurs servi de banc d’essai pour de nombreux outils de biologie moléculaire : production de protéines, visualisation de phénomènes cellulaires grâce à des protéines fluorescentes, modification de l’expression de gènes spécifiques.

Soulignons que les caractéristiques des cellules HeLa ont parfois joué des tours aux scientifiques : extrêmement prolifératives et robustes, elles ont parfois envahi des cultures censées provenir d’autres tissus humains, sans que les équipes de recherche s’en rendent immédiatement compte.

Résultat : de nombreuses publications se sont en réalité avérées fondées sur des cellules HeLa non reconnues plutôt que sur la sorte de cellules sur lesquelles les scientifiques pensaient travailler. Cette situation a brouillé l’interprétation de nombreux résultats, attribués à tort à tel ou tel type cellulaire.

La prise de conscience de ces contaminations a conduit à instaurer des tests d’authentification génétique systématiques, ainsi qu’à mettre en place des bases de données de référence, afin de limiter ces erreurs potentielles.

Une lignée « immortelle », mais des cellules qui ne sont plus les mêmes

Malgré l’essor des cellules souches, des organoïdes et d’autres lignées humaines spécialisées, la lignée HeLa n’a pas disparu des laboratoires et reste l’un des modèles les plus utilisés aujourd’hui encore, notamment pour des expériences de « routine » ou pour calibrer de nouveaux protocoles.

Il serait cependant faux de croire que la lignée cellulaire HeLa est restée la même depuis 1951. Il existe aujourd’hui différentes souches de cellules HeLa, provenant de lots de cellules qui partageaient les mêmes caractéristiques initiales, mais ont depuis divergé. L’étude comparative de ces souches révèle qu’elles se distinguent les unes des autres par des anomalies chromosomiques différentes et des disparités dans les profils d’expression génique.

En d’autres termes, des cellules HeLa qui proviennent de deux laboratoires ne sont plus parfaitement identiques : chaque sous‑lignée a accumulé ses propres mutations et réarrangements au fil des passages (un passage désigne l’ensemble des manipulations qui permettent de passer d’une culture mère « vieillissante » à une culture fille « jeune »).

Cette dérive reflète l’instabilité naturelle d’un génome tumoral et l’adaptation continue aux conditions de culture (type de milieu, sérum, densité, stress…). À ce titre, ces cellules HeLa sont donc tout autant des outils de biologie qu’un modèle d’évolution en boîte de culture. Elles constituent un exemple permettant d’analyser la plasticité du génome tumoral.

À la lumière de cette dérive de profils génomiques aberrants, les cellules HeLa sont des modèles dont il faut maintenant interpréter les résultats avec précaution.

Connaître l’histoire de la lignée HeLa et de ses sous-lignées est devenu crucial pour une interprétation correcte des résultats. Pour en tenir compte, la communauté scientifique a largement instauré des tests d’authentification des lignées cellulaires, des bases de données de référence.

Ce que nous apprennent encore les cellules HeLa

Pionnières de la culture de cellules humaines, les cellules HeLa sont donc devenues des standards de laboratoire, pour s’établir en modèle d’instabilité tumorale. Une lignée cellulaire est comparable à une population vivante, qui évolue.

Malgré ses limites, une lignée robuste et bien décrite comme HeLa reste aujourd’hui encore un atout précieux pour tester des hypothèses, des médicaments ou de nouveaux outils de biologie moléculaire, avant de passer aux modèles plus complexes. Plus de sept décennies après leur première mise en culture, les cellules HeLa continuent donc d’occuper une place de choix sur les paillasses des biologistes.

Photo d’une plaque commémorative en mémoire d’Henrietta Lacks, dans l’État de Virginie, aux États-Unis.
Plaque commémorative en mémoire d’Henrietta Lacks, dans l’État de Virginie, aux États-Unis.
Emw / Wikimedia Commons, CC BY-SA

Le fait qu’elles aient été prélevées sans qu’Henrietta Lacks ne soit informée, ni ne donne son accord, constitue en outre un rappel salutaire de l’existence de potentielles dérives en matière de recherche biomédicale.

En matière d’éthique médicale, le cas de cette patiente interroge la façon dont le consentement, la dignité et les droits des patients doivent être respectés lorsque leurs tissus sont utilisés pour faire progresser la science.

The Conversation

Jean-François Bodart ne travaille pas, ne conseille pas, ne possède pas de parts, ne reçoit pas de fonds d’une organisation qui pourrait tirer profit de cet article, et n’a déclaré aucune autre affiliation que son organisme de recherche.

ref. Cellules HeLa : l’odyssée de la première lignée cellulaire humaine « immortelle » – https://theconversation.com/cellules-hela-lodyssee-de-la-premiere-lignee-cellulaire-humaine-immortelle-275184