Dans l’espace, le vieillissement du cœur des astronautes s’accélère

Source: The Conversation – France in French (3) – By Cyril Tordeur, PhD Candidate in Biomedical Sciences and Pharmacy (Space Cardiovascular Physiology), Université Libre de Bruxelles (ULB)

L’astronaute française Sophie Adenot s’entraîne lors d’un vol parabolique destiné à simuler l’état d’impesanteur. Les travaux révèlent que ce dernier entraîne l’atrophie rapide de petits muscles importants pour l’étanchéité des valves cardiaques. ESA – A. Conigli

De nouveaux travaux révèlent que, dans l’espace, certains muscles du cœur sont mis à rude épreuve par l’impesanteur. En quelques mois, cette dernière provoque leur atrophie. Les conséquences de ce processus, qui prend des décennies sur Terre, sur la santé des astronautes restent à évaluer. Point positif : ces résultats pourraient faire avancer notre compréhension de certains mécanismes à l’origine de l’insuffisance de la valve mitrale.


Considérons, d’un côté, un patient de 80 ans, essoufflé au moindre effort, dont le cœur affaibli laisse refluer le sang vers les poumons et, de l’autre, un astronaute âgé de 35 à 45 ans, entraîné, qui revient de six mois à bord de l’ISS, la Station spatiale internationale, et qui semble en parfaite santé. Que peuvent bien avoir en commun ces deux individus ? Plus qu’on ne le pense.

Pour la première fois, nos travaux ont mis en évidence l’existence chez l’humain d’un phénomène jusqu’alors observé uniquement chez l’animal : dans l’espace, certains petits muscles logés au sein des cavités cardiaques s’atrophient, malgré le sport que les astronautes pratiquent tous les jours.

En réalité, la mission de l’astronaute a donc imprimé sa marque sur son cœur. Derrière son apparente forme physique se cachent des modifications cardiaques subtiles qui miment, en accéléré, ce que le vieillissement a provoqué beaucoup plus lentement chez le patient terrestre. La coupable est l’impesanteur, cet état où la pesanteur du corps ne se fait plus ressentir, qui fait flotter ceux qui s’aventurent dans l’espace. Une situation qui pourrait compliquer les futurs voyages interplanétaires.

Le cœur de l’astronaute face à l’impesanteur

Sélectionnés parmi des milliers de candidats et candidates, les astronautes sont des professionnels soumis à des entraînements rigoureux, et suivis médicalement de manière continue. Pourtant, dès qu’ils quittent la Terre, leur système cardiovasculaire entre dans un processus de « déconditionnement ». Autrement dit, sa physiologie et ses caractéristiques physiques se modifient, parce qu’il n’a tout simplement plus besoin de travailler aussi dur.

En effet, en condition d’impesanteur, le cœur n’a plus la nécessité de lutter aussi difficilement pour propulser le sang vers le cerveau. Les fluides corporels se redistribuent vers la tête, le volume sanguin diminue, et le muscle cardiaque, moins sollicité, s’adapte.

Les scientifiques, qui étudient ces phénomènes depuis les premières missions spatiales, ont découvert que cette adaptation n’est pas sans conséquence. Des études antérieures avaient par exemple montré que le cœur pouvait perdre de la masse musculaire après quelques semaines en orbite, et que sa forme devenait plus sphérique.

Il y a plus de trente ans, une étude menée sur des rats avait aussi mis en évidence une diminution de la taille de petits muscles cardiaques très particuliers, les muscles papillaires.

Les muscles papillaires, essentiels, mais peu étudiés

La mission principale du cœur est de faire circuler le sang à travers les poumons et le corps. Pour cela, il est composé de quatre cavités se contractant à un rythme régulier. Des valves jouent le rôle de clapet antiretour et empêchent le sang de circuler dans le mauvais sens.

Pour accomplir leur fonction, elles reçoivent l’aide de petites structures musculaires, qui représentent moins de 10 % de la masse totale du cœur : les muscles papillaires. Ces derniers évitent que, lorsque le cœur se contracte, les valves ne se retournent comme un parapluie par grand vent. C’est d’ailleurs précisément ce qui se passe en cas d’insuffisance mitrale, une pathologie qui touche des millions de personnes – principalement âgées – dans le monde.

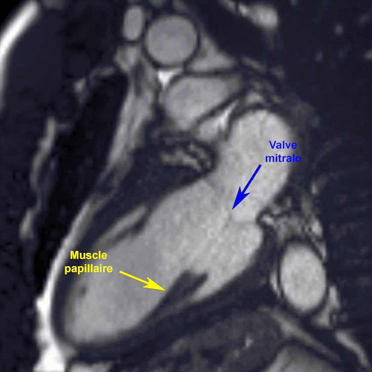
Gif animé du cycle cardiaque du ventricule gauche ; le rythme cardiaque a été ralenti, afin d’avoir le temps d’apprécier la mécanique existant entre le muscle papillaire (indiqué par une flèche jaune) et la valve mitrale (flèche bleue).
Cycle cardiaque du ventricule gauche ; le rythme cardiaque a été ralenti, afin d’avoir le temps d’apprécier la mécanique existant entre le muscle papillaire (indiqué par une flèche jaune) et la valve mitrale (flèche bleue).
Université Libre de Bruxelles, Fourni par l’auteur

En 1992, une étude menée sur des rats avait mis en évidence une diminution de la taille de ces muscles papillaires, après seulement deux semaines dans l’espace. Néanmoins, aucune étude de ce genre n’avait été menée chez l’humain, au cours de vols spatiaux de longue durée.

Pour combler cette lacune, nous avons utilisé l’imagerie par résonance magnétique (IRM) afin de mesurer précisément la masse de ces petits muscles chez des astronautes assignés à des missions spatiales de longue durée (de six à douze mois) à bord de l’ISS. Les mesures avaient lieu dans une période de quarante-cinq à soixante jours avant le décollage et environ une semaine après leur retour sur Terre.

Un risque de perte d’étanchéité de la valve mitrale

Nos résultats ont mis en évidence une réduction moyenne de 14 % de la masse des muscles papillaires après le vol spatial. Cette atrophie sélective, combinée à la sphéricité accrue du cœur observée en impesanteur ainsi qu’à une augmentation de 6 % du diamètre de la valve mitrale (située entre l’oreillette gauche et le ventricule gauche), crée des conditions anatomiques qui pourraient théoriquement favoriser un manque d’étanchéité de ladite valve.

Dans un tel cas de figure, le sang n’est plus expulsé correctement : au lieu de se diriger en direction de l’aorte, une partie reflue vers l’oreillette gauche, dans le sens contraire de la circulation normale. On parle de « régurgitation mitrale ».

En aigu, cette fuite de sang vers l’oreillette gauche et vers les poumons peut provoquer une détresse respiratoire. À long terme, le cœur, contraint de compenser cette insuffisance progressive, se remodèle petit à petit, jusqu’à ne plus être en mesure de maintenir une fonction suffisante : c’est l’insuffisance cardiaque.

Jusqu’à présent, aucune fuite de ce genre n’a été observée dans le cœur des astronautes, principalement parce que cet aspect n’a pas encore été étudié en détail. D’autres travaux devront être menés pour évaluer les potentielles implications cliniques de ce constat en situation spatiale.

Cette nouvelle étude soulève autant de questions qu’elle apporte de réponses. Nous ne savons pas encore si l’atrophie des muscles papillaires est réversible après le retour sur Terre, ni si elle s’aggrave lors de missions plus longues. Nous ignorons également si elle affecte réellement la fonction de la valve mitrale à long terme.

Des protocoles d’imagerie plus spécifiques, consacrés à l’évaluation valvulaire, et des suivis à long terme seront nécessaires pour répondre à ces interrogations, car les régurgitations mitrales peuvent rester asymptomatiques pendant des années avant que des dommages irréversibles ne surviennent.

L’espace, une « machine à voyager dans le temps » physiologique

Cette découverte prend tout son sens quand on la replace dans le contexte du vieillissement terrestre. Sur Terre, l’inactivité physique prolongée et le vieillissement physiologique sont associés à un risque accru d’insuffisance mitrale. Ce processus se déroule sur des années, voire des décennies. En orbite, l’impesanteur compresse ce temps : en six mois, des modifications anatomiques similaires apparaissent.

C’est ce qui fait de l’espace une « machine à voyager dans le temps » physiologique. Les astronautes ne vieillissent pas réellement plus vite, mais leur corps subit des contraintes qui reproduisent certains effets du vieillissement de manière accélérée et réversible. Cette particularité offre aux chercheurs une fenêtre unique pour observer et comprendre des mécanismes qui, sur Terre, se perdent dans la lenteur du temps biologique.

Le parallèle entre espace et vieillissement terrestre s’étend bien au-delà du cœur. Le système musculosquelettique subit lui aussi un déconditionnement rapide en impesanteur : les astronautes peuvent perdre jusqu’à 1 à 2 % de leur masse osseuse par mois dans certaines régions du squelette, un rythme dix fois supérieur à celui de l’ostéoporose terrestre. Leurs muscles des jambes s’atrophient rapidement, faute de devoir supporter le poids du corps.

Les yeux ne sont pas non plus en reste. En impesanteur, les fluides corporels se redistribuent vers la tête, ce qui augmente la pression au sein du crâne et provoque des modifications structurelles du nerf optique et du globe oculaire, un syndrome désormais bien documenté sous le nom de Spaceflight Associated Neuro-Ocular Syndrome (SANS) ou syndrome neuro-oculaire associé aux vols spatiaux).

Par ailleurs, une autre étude a montré que six mois de vol spatial induisent une résistance à l’insuline associée à une rigidification des artères menant le sang vers le cerveau. Un processus qui, sur Terre, se déroule sur des années.

Pour lutter contre ce déconditionnement généralisé dans l’espace, la solution mise en œuvre sur l’ISS est intensive : les astronautes suivent un protocole strict d’environ deux heures et demie d’exercice quotidien, combinant vélo, tapis de course et renforcement musculaire.

Cependant, si ce protocole permet de limiter considérablement la perte de masse musculaire, ainsi que la masse cardiaque totale, il n’empêche malheureusement pas l’atrophie des muscles papillaires. Cette vulnérabilité spécifique pourrait s’expliquer par leur anatomie unique et leur sous-stimulation en contexte spatial.

De l’orbite au lit d’hôpital : un double bénéfice

Ces observations ont une double portée. Pour les agences spatiales, elles soulignent la nécessité de surveiller la fonction valvulaire des astronautes, particulièrement dans la perspective de missions de longue durée vers la Lune ou vers Mars. Si l’atrophie des muscles papillaires s’aggrave avec le temps, elle pourrait théoriquement compromettre l’étanchéité de la valve mitrale et entraîner des fuites cardiaques chez des équipages, loin de toute assistance médicale terrestre.

Elles ont aussi des implications prometteuses en matière de médecine « terrestre » : comprendre comment l’impesanteur provoque l’atrophie des muscles papillaires pourrait aider à identifier les mécanismes qui sous-tendent également leur détérioration liée à l’âge ou à la sédentarité.

Une chose est certaine : l’étude du cœur des astronautes continue d’éclairer notre compréhension des maladies cardiovasculaires terrestres. Chaque mission spatiale est aussi une mission médicale qui profite aux millions de patients cardiaques sur Terre. En regardant vers les étoiles, nous apprenons à mieux soigner ceux qui ont les pieds sur Terre. Un paradoxe de plus dans cette fascinante aventure qu’est l’exploration spatiale.

The Conversation

Cyril Tordeur est membre de l’International Society for Gravitational Physiology (ISGP), de la European Low Gravity Research Association (ELGRA) et de la Mars Society Belgium (MSB). Il a reçu des financements du Service Public Fédéral de Programmation Polique Scientifique belge (BELSPO) et du Fonds pour la Chirurgie Cardiaque.

ref. Dans l’espace, le vieillissement du cœur des astronautes s’accélère – https://theconversation.com/dans-lespace-le-vieillissement-du-coeur-des-astronautes-saccelere-274923